近日,梧州市工人医院心血管内科成功为一名主动脉瘤破裂出血的危急老人完成急诊主动脉覆膜支架腔内隔绝术,目前患者经过抢救,正在接受后续治疗。
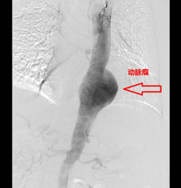
家住广东封开的林老伯,今年70岁,因突然觉得胸腹部剧痛、难以忍受,遂到市工人医院急诊科就诊。经检查,医生发现林老伯主动脉瘤破裂出血,病情十分凶险!目前,抢救此类病人,最快速有效的方法是立即实行介入手术,通过支架把主动脉破裂口封闭,防止继续出血。

当天晚上,医院心血管内科高乐副主任医师在得知林老伯病情后,当机立断告知林老伯家属相关病情,并通知科主任黄达军主任医师及何国欢副主任医师及时到场做好手术准备。经过近2个小时的手术治疗,医生们终于将支架植入林老伯的主动脉并顺利封闭破裂口,成功抢救了命悬一线的林老伯。目前,林老伯病情渐稳,将继续住院行后续治疗。

人体“不定时炸弹”——主动脉瘤
主动脉瘤是以主动脉某段局限性退化扩张,最终无法承受血流冲击导致瘤壁破裂的一种高危性疾病,90%以上的破裂者发生猝死。一旦主动脉瘤发生破裂,高速、高压的动脉血立即喷射入腹腔,在短短几分钟患者失血达到数千毫升,随即出现休克,因大出血而死亡。只要破裂口出现在腹腔内,任何抢救和输血都是徒劳的,所以,临床医生把这种凶险的疾病戏称为“不定时炸弹”,这意味着只要发现主动脉瘤,就相当于带上一个不定时的炸弹,随时随地就可能破裂要命。在最近的流行病学调查中,发现得到诊断的症状性主动脉瘤中,2年内自然破裂率达到50%。
由于动脉硬化与主动脉瘤的发生密切相关,在我国,伴随着生活水平的提高和人口老龄化趋势,主动脉瘤的发生率已经达到2%,并有逐年上升的趋势。

如果说主动脉瘤的传统开腹手术属于重拳巨创,很多患者无法耐受,为手术期死亡率高;那么腔内隔绝术治疗主动脉瘤可以认为是微创,几乎所有的患者都可以耐受,加上最近使用各种器官保护药物和造影用的肾脏保护造影剂,更加降低了腔内隔绝术的风险性。很多患者在腔内隔绝术后第2天,就可以下床活动,5天就可以出院。可以说,腔内隔绝术治疗主动脉瘤不仅是血管外科技术的革命,也是扩大主动脉瘤治疗人群的革命。腔内隔绝术给每一位主动脉瘤患者带来了福音。(邓敏婕)
相关热词搜索: